Brevundimonas vesicularis SEPTICAEMIA IN A KID WITH CONGENITAL GOITRE

Authors

  • Mitja Gombač
  • Igor Gruntar
  • Pavel Kvapil
  • Tanja Švara Veterinary Faculty University of Ljubljana

Abstract

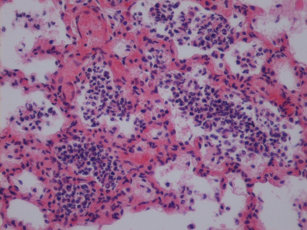
In this article a case of septicaemia, caused by Brevundimonas vesicularis in a newborn pygmy goat with congenital goitre, is described. B. vesicularis is an aerobic non-sporulating non-fermenting motile Gram-negative bacillus, ubiquitous in the environment. It is susceptible to aminoglycosides and anti-pseudomonal penicillins and resistant to ampicillin and cephalosporins. To date, B. vesicularis has been isolated from water, soil, plants and several human clinical specimens, mostly in immunosuppressed patients causing endocarditis, arthritis, keratitis and septicaemia. It has never been reported to cause any problems in animals. A newborn pygmy goat kid died 18 hours after a normal parturition. Prior to death, no clinical abnormalities were observed, the kid was normally developed, in good condition and had a normal suckling reflex. At necropsy, a severely enlarged thyroid gland, an acute embolic pneumonia, acute catarrhal enteritis and a moderate splenomegaly were noticed. Microscopically, severe thyroid gland hyperplasia, embolic pneumonia and catarrhal enteritis were confirmed. In the liver and myocardium small multifocal necroses, surrounded by single neutrophils, were noticed. A severe diffuse lymphoreticular hyperplasia was diagnosed in the spleen and a diffuse parenchymatous degeneration was noticed in the kidneys. Numerous small colonies of Gram-negative bacteria were observed in the liver and lungs. Intensive growth of smooth, thick, convex, yellowish colonies on blood agar and green colonies on Drigalski agar was obtained from the liver, spleen and lung samples. The bacteria were identified as B. vesicularis by a commercial kit. The bacterium resulted sensitive to broad-spectrum antimicrobial agents, including ampicillin, cefotaxime, ceftriaxone and ceftazidime-clavulanate. To the best of our knowledge, this is the first report of B. vesicularis septicaemia in animals. Weak immunodeficient goitrous kids are predisposed to many bacterial infections, including the ubiquitous and opportunistic B. vesicularis, which can cause fulminant septicaemia and death within a few hours after birth.

Key words: Brevundimonas vesicularis; congenital goitre; newborn kid; pneumonia; septicaemia

 

Brevundimonas vesicularis SEPSA PRI KOZLIČKU S PRIROJENO GOLŠAVOSTJO

 

V prispevku smo opisali sepso, ki jo je pri novorojenem pritlikavem kozličku z golšavostjo povzročila bakterija Brevundimonas vesicularis. B. vesicularis je aerobna, nesporogena, gibljiva, gramsko negativna ubikvitarna bakterija, ki je občutljiva na aminoglikozide in nekatere peniciline. Do sedaj so jo izolirali iz vode, zemlje, rastlin in ljudi, predvsem imunosupresivnih bolnikov, pri katerih je povzročila endokarditis, artritis, keratitis in sepso. V literaturi ni zabeleženo, da bi ta bakterija pri živalih povzročila katere koli bolezenske spremembe. Pritlikavi kozliček je poginil 18 ur po normalnem porodu. Pred poginom ni kazal bolezenskih znakov, bil je normalno razvit in v dobri telesni kondiciji, normalno je sesal. Med raztelesbo smo ugotovili obojestransko močno povečano ščitnico, akutno embolično pljučnico, akutni kataralni enteritis in zmerno splenomegalijo. S patohistološko preiskavo smo potrdili močno hiperplazijo ščitnice, embolično pljučnico in kataralni enteritis, v jetrih in miokardu smo opazili majhne multifokalne nekroze, obdane s posameznimi nevtrofilci, vranica je bila močno hiperplastična, v ledvicah pa smo ugotovili močno parenhimsko degeneracijo tubulocitov. V pljučih in jetrih smo opazili številne majhne kolonije gramsko negativnih bakterij. Na krvnem agarju so iz pljuč, jeter in vranice v čisti kulturi zrasle gladke, debele, izbočene, rumenkaste bakterijske kolonije, na agarju po Drigalskem pa zelene bakterijske kolonije. Izolirane bakterije smo determinirali kot B. vesicularis. Bakterije so bile občutljive na širok spekter antibiotikov, vključujoč ampicilin, cefotaksim, ceftriakson in ceftazidim-klavulanat. Predstavljeni primer je prvi opis z B. vesicularis povzročene sepse pri živali. Imunosupresivni kozlički so zaradi golšavosti dovzetnejši za številne bakterijske okužbe, med katere gotovo lahko prištevamo tudi okužbo z B. vesicularis, ki lahko povzroči sepso in pogin v nekaj urah.

Ključne besede: Brevundimonas vesicularis; kongenitalna golšavost; novorojeni kozlički; pljučnica; sepsa

Author Biography

Mitja Gombač

Institute of Pathology, Forensic and Administrative Veterinary Medicine

References

(1) Bobbak V. Brevundimonas vesicularis bacteremia following allogeneic bone marrow transplantation. Internet J Infect Dis 2005; 5: e1 (4 pp.) http://print.ispub.com/api/0/ispub-article/9653 (12. 9. 2016)

(2) Sofer Y, Zmira S, Amir J. Brevundimonas vesicularis septic arthritis in an immunocompetent child. Europ J Pediatr 2007; 166: 77–8.

(3) Yang ML, Chen YH, Chen TC, Lin WR, Lin CY, Lu PL. Case report: infective endocarditis caused by Brevundimonas vesicularis. BMC Infec Dis 2006; 6: e179 (5 pp.) http://link.springer.com/article/10.1186%2F1471-2334-6-179 (12. 9. 2016)

(4) Segers P, Vancanneyt M, Pot B, et al. Classification of Pseudomonas diminuta Leifson and Hugh 1954 and Pseudomonas vesicularis Büsing, Döll, and Freytag 1953 in Brevundimonas gen. nov. as Brevundimonas diminuta comb. nov. and Brevundimonas vesicularis comb. nov., respectively. Int J Syst Bact 1994; 44: 499–510.

(5) Chandra AB, Chandra PA, Chapnick EK. Bacteremia caused by Brevundimonas vesicularis in a patient with biliary pancreatitis. Infec Dis Clin Pract 2010; 18: 54–5.

(6) Chi CY, Fung CP, Wong WW, Liu CY. Brevundimonas bacteremia: two case reports and literature review. Scand J Infect Dis 2004; 36: 59–77.

(7) Gilad J, Borer A, Peled N et al. Hospital-acquired Brevundimonas vesicularis septicaemia following open-heart surgery: case report and literature review. Scand J Infect Dis 2000; 32: 90–1.

(8) Oberheiman RA, Hambert JR, Santorelli FW. Pseudomonas vesicularis causing bacteremia in a child with sickle cell anemia. South Med J 1994; 87: 821–2.

(9) Karadag N, Karagol BS, Kundak AA et al. Spectrum of Brevundimonas vesicularis infections in neonatal period: a case series at a tertiary referal center. Infection 2012; 40: 509–15.

(10) Radostits OM, Gay CC, Hinchcliff KW, Constable PD, eds. Veterinary medicine: a textbook of the diseases of cattle, horses, sheep, pigs and goats. 10th ed. Philadelphia: WB Saunders, 2007: 127–31.

(11) Capen CC. The endocrine glands. In: Jubb KVF, Kennedy PC, Palmer N, eds. Pathology of domestic animals. 4th ed. Vol. 3. San Diego: Academic Press, 1993: 315–6.

(12) Bries J, Bratko P, Weissova T, Michna A, Matisák T. Iodine deficiency in goats as a cause of congenital goiter in kids. Vet Med (Praha) 1996; 41:133–8.

(13) Matthews JG. Diseases of the goat. Oxford: Blackwell Science, 1999: 56–7.

(14) De Vito P, Incerpi S, Pedersen JZ, et al. Thyroid hormones as modulators of immune activities at the cellular level. Thyroid 2011; 21(8): e879–90. http://online.liebertpub.com/doi/abs/10.1089/ thy.2010.0429 (12. 9. 2016)

(15) Pelletier JS, Ide T, Yoo SH. Brevundimonas vesicularis keratitis after laser in situ keratomileusis. J Cataract Refract Surg 2010; 36: 340–3.

(16) Gupta PK, Appannanavar SB, Kaur H, Gupta V, Mohan B, Taneja N. Hospital acquired urinary tract infection by multidrug-resistant Brevundimonas vesicularis. Indian J Pathol Microbiol 2014; 57: 486–8. http://www.ijpmonline.org/article.asp?issn=0377-4929;year=2014;volume=57;issue=3;spage=486;epage=488;aulast=Gupta

(17) Yoo SH, Kim MJ, Roh KH, et al. Liver abscess caused by Brevundimonas vesicularis in an immunocompetent patient. J Med Microbiol 2012; 61: 1476–9. http://jmm.sgmjournals.org/content/ journal/jmm/10.1099/jmm.0.045120-0?crawler=true&mimetype=application/pdf

(18) Karadag N, Karagol BS, Dursun A, Okumus N, Tanir G, Zenciroglu A. A premature neonate with early-onset neonatal sepsis owing to Brevundimonas vesicularis complicated by persistent meningitis and lymphadenopathy. Paediatr Int Child Health 2012; 32: 239–41.

Downloads

Published

2016-10-17

How to Cite

Gombač, M., Gruntar, I., Kvapil, P., & Švara, T. (2016). Brevundimonas vesicularis SEPTICAEMIA IN A KID WITH CONGENITAL GOITRE. Slovenian Veterinary Research, 53(3). Retrieved from https://slovetres.si/index.php/SVR/article/view/114

Issue

Section

Case Report

Most read articles by the same author(s)